04 februari '22
Als je OCD op jonge leeftijd kan detecteren, kan je erger voorkomen
/
Veterinair
Zangersheide
De voorbije edities volgden we onze dierenarts doorheen de vier seizoenen en maakten we in zijn dagelijkse praktijk kennis met vraagstukken rond fertiliteit en de pathologie van (drachtige) merries, veulens en (jonge) paarden.
In de winter wordt Frederik Mijten vooral geboekt als fotograaf. De jongeren van anderhalf jaar verhuizen stilaan van de weide naar de stal voor een medische check up. De tweejarigen mogen al eens tonen wat ze waard zijn in vrijheid. De meeste maken voor het eerst kennis met een balkje. Maar voor de fokkers beginnen dromen, worden er foto’s genomen. Frederik Mijten is momenteel quasi fulltime bezig met radiologische beeldvorming. Noodzakelijk, want naar schatting 25 tot 30% van de paardenpopulatie ontwikkelt OCD. De radiografische screening is een standaardprocedure die uitsluitsel moet geven.
Tientallen jonge paarden ondergaan vol ongeduld hun eerste fotoshoot. Onderweg naar de volgende klant belt een fokker omdat zijn veulen van zeven maanden achteraan mankt. Een juiste diagnose kan gesteld worden door radiografie van de knie. Uit ervaring weet Frederik Mijten dat kreupelheid achteraan kan wijzen op osteochondrose van de knie.
Het brengt ons bij een item dat belangrijk is om even bij stil te staan. Sinds enkele jaren voert Mijten in steeds meer fokkerijen een routineus onderzoek uit naar osteochondrose bij veulens.
Frederik is blij met de reactie van de fokker: ‘iedere fokker wordt hier vroeg of laat mee geconfronteerd, niet elke fokker besteedt er aandacht aan. Kreupelheid kan veroorzaakt worden door trauma: veulens spelen in de weide en er worden al eens trappen uitgedeeld, waarna sommigen in de klappen delen. Kreupelheid kan echter ook het gevolg zijn van een groeistoornis of osteochondrose. Nu werd ik geconsulteerd omdat het veulen mankte en wijzen de foto’s effectief op een beginnende OCD. Het misleidende aan osteochondrose is dat het niet altijd opvalt bij veulens. Het hoeft niet pijnlijk te zijn en ze hoeven niet te manken. En toch verdient het onze aandacht, want als je bij veulens de ontwikkeling van OCD vroegtijdig kan detecteren, kan je erger voorkomen.’
Laat je veulen preventief screenen
Fokkers en eigenaars zijn vertrouwd met OCD bij jonge paarden. De kiem hiervan wordt gelegd bij veulens tussen de vier en tien maanden. Knie OCD kan echter een belangrijke impact hebben op de sportcarrière van een paard. ‘Daarom is het aangewezen om de kniegewrichten van je veulen preventief te laten screenen als het zeven, acht maanden is’, oordeelt Frederik Mijten.
Het veulen van de fokker heeft zichtbaar een opgezette knie. De radiografie wijst duidelijk op een beginnende OCD. Het bot is nog niet helemaal los en nog niet gemineraliseerd, of verbeend. Er zit dus nog geen kalkaanslag op, maar je ziet wat er aan het gebeuren is. Dit is het begin van OCD.
Deze beginnende OCD van de knie kan operatief behandeld worden door de loskomende OCD vast te zetten met resorbeerbare schroefjes, waardoor het kraakbeen zich terug vastzet en de OCD verdwijnt.
‘Er zijn twee rolkammen die over de knieschijf rollen. Door een ontwikkelingsstoornis, bijvoorbeeld te weinig doorbloeding in het bot gecombineerd met een genetische aanleg, zie je via radiografie een deuk in die rolkam, daar waar de OCD aan het ontstaan is. Als je daarmee wacht tot je paard anderhalf of ouder is, is dat fragment losgekomen en moet dat verwijderd worden. Je blijft dan wel met die holte achter dat niet bekleed wordt met normaal kraakbeen. Met alle gevolgen van dien. Het littekenkraakbeen slijt sneller dan normaal kraakbeen waardoor het subchondraal bot sneller bloot komt te liggen. Het schuurt en is pijnlijk. Een belangrijke OCD ter hoogte van de knie hypothekeert de sportcarrière van je paard. Zo ver hoeft het niet te komen. In plaats van te wachten, kan je met resorbeerbare schroeven het losgekomen fragment terug aan het bot vastmaken, waarna het terug zal vergroeien’, weet Mijten: ‘die behandeling kan uitgevoerd worden bij veulens waarbij de kraakbeenflap nog niet afgestorven is. De deadline hiervoor is 11 maanden. De diagnose kan gesteld worden vanaf zes maand.’

Nieuwe absorbeerbare nagels die gebruikt worden bij Dierenkliniek De Bosdreef. Deze nagels zijn onzichtbaar op röntgenfoto's.
Frederik Mijten hamert vooral op de preventie als het over osteochondrose gaat: ‘en dat betekent genetische selectie. Een andere belangrijk element is de juiste voeding, concreet je veulens die te snel groeien niet overvoederen. Een derde belangrijke component is beweging. Veulens moeten zo veel mogelijk buiten zijn en in beweging blijven.’ Opsluiten van veulens tussen de leeftijd van 5 en 11 maand verhoogd de kans op knie OCD.
Gouden regels bij preventie osteochondrose:
1. Niet overvoederen
2. Voldoende beweging
3. Genetische selectie: enkel fokken met OCD-vrije ouderdieren
Knie, sprong en kogelgewricht zijn de meest voorkomende locaties waar osteochondrose zal optreden. De techniek van fixatie door middel van oplosbare schroeven kan enkel toegepast worden in de knie en daarvoor verwijst Frederik Mijten zijn klanten door naar Hans Wilderjans van De Bosdreef.
De autoriteit: Dr. Chirurg Hans Wilderjans:
‘Er kan vroeger en efficiënter ingegrepen worden’
Dr. Hans Wilderjans (Dipl. ECVS) is medestichter van De Bosdreef en mag zich een wereldautoriteit noemen in de orthopedie. Het archief van De Bosdreef vertelt ons dat de ingreep van fixatie van de OCD fragmenten sinds 2012 op regelmatige basis wordt uitgevoerd, al 10 jaar dus.
‘Het geeft de traagheid van wetenschappelijke inzichten en nieuwe chirurgische technieken weer’, begint Wilderjans: ‘het sijpelt gelukkig steeds meer door bij dierenartsen op het terrein, al is daar een periode van 10 jaar overgegaan. Er is een gebrek aan bijscholing, in combinatie met oogkleppen die nog steeds gedragen worden. De fokker speelt hier ook een rol in: er is een kostprijs verbonden aan de ingreep en dat remde de behandeling in het verleden af.’ Hierdoor kreeg deze operatie techniek de kans niet om zich te bewijzen.
Toch is Hans Wilderjans hoopvol: ‘ik promoot de techniek al 10 jaar, pas de laatste 3 jaar zie ik een kentering en dat heeft wellicht te maken met de stijgende kostprijs van de veulens.’
Het klassieke verloop
Het klassieke verloop is dat paarden op anderhalf, twee jaar röntgenologisch gescreend worden, waarna eventuele OCD’s operatief verwijderd worden. Als je in de knie een OCD hebt die groter is dan 3 centimeter, verlaag je de prognose van een goede sportcarrière. De ideale leeftijd om een OCD te verwijderen, ligt tussen één en anderhalf, maximum twee jaar. Dat geeft zeer goede resultaten en je paard kan een onbezonnen leven leiden. Als je evenwel het geluk hebt dat je paard het talent, de kwaliteit en de capaciteit heeft om 1.50m en hoger te springen, zal je vaststellen dat de OCD de veelbelovende carrière kan belemmeren. Ook na een succesvolle arthroscopie operatie met verwijderen van de fragmenten. Voor een goed begrip, de ervaring leert dat er weinig tot geen belemmeringen zijn bij paarden die 1.20m/1.30m springen. Het wordt pas een obstakel als het over topsport gaat. Elk kraakbeen is onderhevig aan slijtage, maar littekenkraakbeen, dat ontstaat na het verwijderen van de OCD, slijt sneller dan normaal kraakbeen. Of je paard 1.50m hindernissen kan overwinnen, weet je als het 8 jaar is. De volgende jaren zal het frequent in parcours ingezet worden. Dan is het al 10 jaar en heeft de knie al heel wat sprongen op de teller. Op dat moment is het kraakbeen al dunner en gevoeliger. Al die tijd glijdt bij elke buiging de knieschijf over het kraakbeen. Je paard zal aanvankelijk niet manken, maar het paard zal zijn knieën wel beginnen voelen. Vergelijk het met ons. Een mens van 40-50 jaar zal bij dezelfde intensieve inspanning zijn knieën ook sneller voelen dan iemand van 25. We noemen dat proces chondromalacie van het kraakbeen en dat zorgt er voor dat je de impact op je gewrichten begint te voelen. Het is bij paarden niet anders. Ze gaan zich daardoor inhouden. Er zijn altijd uitzonderingen, al zal de tijd quasi altijd prestatieverlies veroorzaken. En hoe meer kraakbeen je heb moeten wegenemen, hoe groter de kans op verminderde prestaties.’
Prognose
‘Een OCD kleiner dan 2 centimeter biedt een goede prognose voor de sport. Tussen 2 en 4 centimeter spreken we over een gereserveerde prognose. Meer dan 4 centimeter wijst op een slechte prognose voor sport op niveau. Er zijn zoals eerder aangehaald altijd uitzonderingen, al vermoed ik dat er op de Olympische Spelen in Tokio geen tot zeer weinig paarden sprongen die geopereerd zijn aan grote OCD letsels in de knie.’

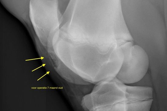
Zeven maand oud veulen met groot OCD letsel in de knie voor de operatie.

Zeven maand na operatie.
Door fixatie het oorspronkelijk kraakbeen terug laten vastgroeien
‘Iedereen is het er over eens dat OCD in de knie een potentiële invloed heeft op de sportprestatie. Er is gelukkig een techniek om de losgekomen kraakbeenflappen terug te fixeren op het bot. ‘De techniek komt uit de humane geneeskunde en werkt goed. De insteek is dat we door fixatie het oorspronkelijk kraakbeen terug laten vastgroeien, waardoor de OCD verdwijnt. We hebben opgemerkt dat er een timing is waarin je moet opereren en die is zeer strak. Het situeert zich tussen de zes en tien maand. Je moet opereren op het moment dat de kraakbeenflap aan het loskomen is, maar nog goed verbonden is met het omgevend kraakbeen. Het mag niet gescheurd zijn en er mogen geen gaten inzitten. Ook belangrijk is dat er nog voldoende bloedvoorziening is in het bot ter hoogte van de loskomende OCD flap. De ingreep zal geslaagd zijn als er na fixatie terug bloeddoorstroming kan plaatsvinden in de gefixeerde kraakbeenflap. Vergelijk het met een klassieke breuk. Als je die fixeert met bouten en een plaat, kan dat genezen. Tenminste bij een verse breuk. Als je daar enkele maanden mee wacht, lukt dat ook niet meer.’
Het oog van de meester
‘Het welslagen van onze operatie hangt af van de timing. Dat is de key to succes en vraagt enige ervaring. Je moet het letsel herkennen en interpreteren. Daarom vraag ik aan dierenartsen om de knie foto’s van het veulen door te sturen rond de leeftijd van zeven maand. Tenzij de knie is opgezet, dan moet er onmiddellijk en misschien nog vroeger gereageerd worden. De meeste knie OCD’s worden gevormd tussen 4-6 maand. Als het letsel op negen maand nog aanwezig is, gaat het niet meer weg. Omgekeerd weten we dat een klein percentage van de OCD in de sprong en de knie voor de leeftijd van acht maanden spontaan kan genezen. Als het een letsel van één tot twee centimeter betreft, kunnen we nog wachten met in te grijpen en de controle foto’s na 4 weken afwachten. Als het een letsel van vier centimeter is, moet er snel beslist worden.’
Kostprijs
Hans Wilderjans beaamt: ‘de ingreep kost wat extra geld maar dat weegt niet op tegen de belangrijke commerciële meerwaarde van het paard indien het letsel geneest en het paard kan sporten met normaal kraakbeen in zijn knie. De kostprijs is afhankelijk van het letsel en het aantal schroeven dat gebruikt wordt. Als ik een ruwe schatting moet geven, moet je rekenen op een prijs tussen de 2.000€ en 4.000€.’
‘Dat het onderwerp toch stilaan aan bekendheid wint, heeft te maken met de professionalisering van de fokkerij en de introductie van de ICSI veulens. Het gevolg daarvan is de algemene prijsstijging van de veulens. Als ze enkele tienduizenden euro’s waard zijn, zal men sneller overwegen om de vroegtijdige opsporing en fixatie te laten uitvoeren. De fokker maakt steeds meer een kosten baten analyse.’
Slagingspercentage
Een niet onbelangrijk gegeven. Wat is het slagingspercentage van de ingreep? ‘Ik kan enkel spreken uit eigen statistieken en kom dan uit op 70% en dat heeft dan betrekking op het integrale aanbod van veulens. Omdat het nog om kleinere aantallen gaat en te beperkt is in tijd, is dat percentage statistisch gezien niet representatief. Artroscopie voeren we in de Bosdreef zo’n 600 keer per jaar uit, slechts een klein aandeel heeft betrekking op de fixatie bij veulens, maar de laatste jaren worden er toch een 30 per jaar gefixeerd en dat aantal neemt steeds toe. En wat is geslaagd? Je kan een letsel ook verkleinen, waarbij je van vier naar pakweg twee centimeter gaat, waardoor het paard wel een sportcarrière tegemoet gaat. Het uitgangspunt is dat je OCD in de knie op de juiste leeftijd kan laten verdwijnen.’
Na de operatie, de revalidatie
Hoe ziet leven van het veulen er uit na de operatie? ‘Volgens het klassiek patroon: twee weken op stal, nadien mag er twee weken gestapt worden. Na een maand mag het veulen in de paddock of een kleine weide. Nog een maand later mag het terug op de weide en nemen we een radiografische controle foto 6 maand en 12 maand na de operatie. Tussen de 6 en 12 maand na de operatie zal het letsel volledig geheeld zijn.'

‘Het uitgangspunt is dat je OCD in de knie op de juiste leeftijd kan laten verdwijnen'